Arquivo da tag: adrenalina

Glândulas adrenais ou suprarrenais

As glândulas adrenais ou suprarrenais se localizam logo acima dos rins. Essas pequenas glândulas chegam a pesar não mais que 10g na fase adulta, mas são responsáveis pela produção de uma série de hormônios ou neurotransmissores. Têm duas principais regiões que produzem diferentes substâncias: o córtex e a medula.

Eixo hipotálamo-hipófise-adrenal. O hipotálamo libera CRH, que por sua vez estimula o ACTH da hipófise. O ACTH estiula o córtex adrenal.

Córtex adrenal

O córtex adrenal ainda se subdivide em três camadas. Da mais externa para mais interna temos: fasciculada, glomerulosa e reticular.

O córtex adrenal produz três principais tipos de hormônios esteroides a partir do colesterol

  • Mineralocorticoides – o principal representante é a aldosterona, que é responsável pelo equilíbrio do sódio e pótássio no corpo. São importantes para manter o volume de água e sódio no organismo e, consequentemente, a pressão arterial; São porduzidos pela camada mais externa do cortex, a glomerulosa.
  • Glicocorticoides – o cortisol é o principal hormônio glicocorticóde e está envolvido na homeostase da glicose e de outras substâncias. É também um hormônio liberado de forma crônica em situações de estresse; são produzidos pela camada intermediária do cóirtex, a fasciulada.
  • Andrógenos – a dehidroepiandrosterona (DHEA) e a androstenediona produzidas são precursores de hormônios masculinos . Esses precursores vão ser convertidos em outros locais em testosterona e estrógeno. São produzidos plea camada mais interna do córtex, a reticular. Lembrando que a principal produção de hormônios sexuais é feita pelos testículos e ovários.

As camadas fasciculada e reticular da adrenal são estimuladas pelo hipófise através do hormônio chamado ACTH ou adrenocorticotrófico, enquanto a camada glomerulosa é estimulada pela renina, produzida no rim. Essa separacão é importante na diferenciação dos quadros de insuficiência adrenal.

Ainda falano de regulação, temos que o hipotálamo libera o CRH – corticotropin-releasing hormone – hormônio responsável por estimular a hipófise a produzir ACTH, que por sua vez estimula o córtex adrenal. Completa-se dessa forma o famoso eixo hipotálamo-hipófise-adrenal (HHA).

Hormônios produzidos pela glândula adrenal
Hormônios produzidos pelo córtex e medula da adrenal

Hormônios esteroides adrenais

Os hormônios esteroides adrenais e sexuais são produzidos a partir do colesterol. Eles têm estrutura molecular muito semelhante, o que dificulta para distingui-los nos exames laboratoriais. Essa semelhança também pode fazer com que se um tipo de esteroide estiver em excesso, ele estimule o receptor de outro hormônio esteroide de uma categoria diferente.

Medula adrenal

A medula adrenal produz adrenalina e noradrenalina (catecolaminas), que são hormônios liberados na fase aguda do estresse: na reação de luta ou fuga. Faz parte do sistema nervoso autônomo, ou seja, não está no controle da nossa vontade. As catecolaminas também são produzidas em outros locais do sistema nervoso autônomo.

Sistema nervoso autônomo

Várias são as doenças ligadas a disfunções dessas glândulas. Por exemplo, o excesso de mineralocorticóides e de catecolaminas (feocromocitoma) podem produzir quadros de hipertensão arterial que não responde aos tratamentos convencionais. Excesso de cortisol pode levar ao que denominamos de Síndrome de Cushing, doença que tem um quadro clínico muito exuberante, com obesidade, diabetes, hipertensão, fragilidade e estrias na pele e fragilidade óssea. Já o excesso de adrógenos adrenais pode levar a quadros de aparecimento de caracteres masculinos em mulheres ou problemas na diferenciação dos órgãos sexuais e genitália do feto quando há problemas genéticos envolvidos.

A deficiência de produção hormonal também pode levar a quadros diversos. Por exemplo, a deficiência de mineralocorticoide e glicocorticoide pode evoluir com quadros de pressão arterial baixa e hipoglicemia.

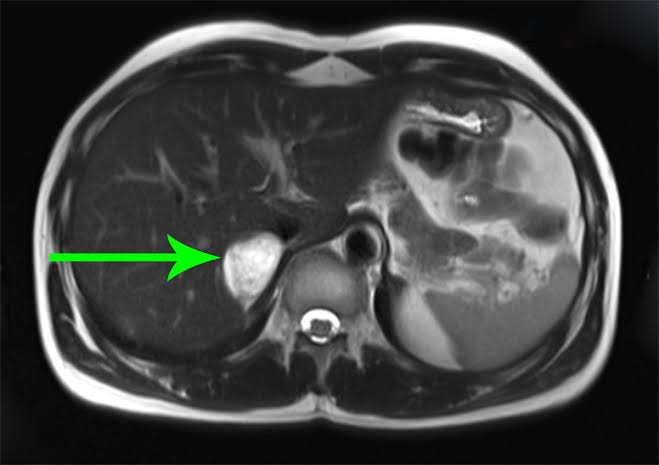
Não é raro que a adrenal seja local de desenvolvimento de tumores. Esses tumores geralmente são descoberto ao acaso, situação em que chamamos de incidentaloma adrenal.

A endocrinologia é a especialidade que estuda essas glândulas tão pequeninas, mas gigantes na sua importância desde o desenvolvimento fetal até a fase adulta.

Se você gostou da leitura, não deixe curtir e de compartilhar o conteúdo.

Para receber em primeira mão as publicações, você pode se increver no blog ou me acompanhar pelas redes sociais. Os links estão no rodapé dessa página.

Espero ver você mais vezes!

Um forte abraço,

Suzana

Feocromocitoma e paraganglioma

As adrenais ou suprarrenais são glândulas singulares! São de pequenas dimensões mas de grande importância e multifuncionais. Estão situadas acima dos rins e liberam vários tipos diferentes de hormônios ou neurotransmissores, cada um produzido em compartimentos anatômicos diversos. Já é bem conhecido que o cortisol é o hormônio do estresse. Muitos profissionais até o dosam de forma inapropriada para dizer que há “fadiga adrenal” ou dizer que o paciente “estressado” e merece fazer uma “modulação hormonal” (termos entre aspas mesmo, já que esse tipo de diagnóstico e tratamento não são cientificamente reconhecidos).

O cortisol é sim um hormônio de resposta crônica ao estresse e é produzido pelo córtex adrenal, região mais externa da glândula adrenal. Mas vamos falar, na verdade, dos neurotransmissores de resposta aguda ao estresse, a famosa resposta de luta ou fuga. Esses hormônios ou neurotransmissores são a adrenalina, a noradrenalina e a dopamina, também conhecidas por catecolaminas e produzidas na parte interna ou medula adrenal e algumas estruturas do sistema nervoso autônomo. As células que produzem as catecolaminas nesses dois locais podem ser fontes de tumores conhecidos como feocromocitoma e paraganglioma, respectivamente.

Corte da adrenal demonstrando as principais regiões anaômicas: córtex e medula

SISTEMA NERVOSO AUTÔNOMO

Mas antes de falar desses tumores propriamente ditos, vamos comentar um pouco sobre fisiologia e anatomia do sistema nervoso. Temos uma parte desse sistema que é chamado autônomo, isto é, não está sob nosso controle como temos os neurônios que inervam os músculos esqueléticos quando decidimos fazer um movimento com nossos corpo, por exemplo.

O sistema nervoso autônomo compreende o sistema simpático e parassimpático. Enquanto o primeiro é responsável pela respostas fisiológicas que preparam os seres vivos para lutar ou fugir: acelerando os batimentos cardíacos, dilatando as pupilas, elevando a pressão arterial, dilatando os brônquios, aumentando a glicose no sangue etc., o segundo sistema atua de forma contrária: desacelerando esses processos e restabelecendo o organismo após uma situação de emergência atuando, predominante, em situações de calmaria. As respostas do sistema simpático não só aparecem em situações de grandes ameaças à vida, estressores mais simples do dia a dia e emoções fortes (boas e ruins) também ativam esse sistema.

As catecolaminas são liberadas na comunicação (sinapse) entre o neurônios da medula espinhal e neurônios presentes em gânglios nervosos concentrados na região cranial e sacral (sistema nervoso autônomo parassimpático) e paralelamente à medula espinhal (sistema nervoso simpático).

Nas sinapses dos gânglios nervosos do sistema nervoso autônomo, a noradrenalina é a principal catecolamina secretada. A medula adrenal funcionaria com um grande neurônio pós-sináptico e que libera principalmente adrenalina diretamente na circulação.

A estrutura primitiva que dá origem ao sistema nervoso, a crista neural, originam aos gânglios nervosos e outras células de estrutura semelhante à medula adrenal que ficam próximos dos gânglios nervosos e por isso são chamados de paragânglios, que podem ainda estabelecer conexões com outros plexos simpáticos.

Sistema nervoso autônomo de onde se originam os paragangliomas e feocromocitoma

FEOCROMOCITOMA E PARAGANGLIOMA

A palavra feocromocitoma é utilizado para tumores da medula adrenal secretores de catecolaminas. Esse termo deriva do grego: phaios (escuro), chroma (cor) kitos (célula) e oma (tumor). São os tumores de células cromafins, nome esse dado pela afinidade das células em concentrar o corante com sais de cromo, conferindo-lhes a coloração escura. Da mesma natureza que o feocromocitoma, os tumores cromafins extra-adrenais originados dos paragânglios são chamados paragangliomas.

Células cromafins da medula adrenal

Esses tumores que produzem catecolaminas dão origem ao quadro clínico clássico de hipertensão arterial paroxística ou sustentada (90% dos casos); paroxismos de palpitação, cefaleia, sudorese profusa (50 – 75% dos casos).

Em pacientes, principalmente mais jovens, com hipertensão arterial que utilizam várias medicações ou que não obtenha bom controle mesmo que bem medicado, associada ou não aos outros sinais e sintomas de excesso de catecolaminas, pode-se pensar que seja uma hipertensão secundária endócrina ao feocromocitoma/paraganglioma. Embora esses tumores representem apenas cerca de 0,2% de todos os casos de hipertensão, essa é uma causa curável de hipertensão e deve ser sempre lembrada.

Cirurgia e gravidez podem desencadear crises adrenérgicas em um feocromocitoma até silente.

Feocromocitomas e paragangliomas são muito raros, com incidência estimada de 0,6 casos por 100.000 pessoas ao ano. e acontecem na sua maioria de forma esporádica, ou seja, não ligado à defeitos genéticos e acontece de forma isolada.

Neurofibromatose tipo 1, Doença de von Hippel–Lindau e Neoplasia Endócrina Múltipla do tipo 2 são exemplos de síndromes genéticas em que o feocromocitoma/paraganglioma pode estar presentes. Existem ainda as síndromes familiares onde o feocromocitoma/paraganglioma aprecem como único tipo de tumor. Cada uma dessas síndrome tem um gene específico que está defeituoso e essa mutação pode ou não passar para os descendentes.

De forma didática, falava-se que o feocromocitoma seguiam a regra dos dez por cento:

  • 10% são familiares (causa genética)
  • 10% malignos (com metástases à distância)
  • 10% extra-adrenais (paragangliomas)
  • 10% bilaterais
  • 10% em crianças

Porém com o desenvolvimento e disseminação de exames de imagem e técnicas de mapeamento genético, essa regra não parece valer mais, já que revisões mais recentes demonstraram que mutações genéticas foram encontradas em até de 40% dos casos.

DIAGNÓSTICO DO FEOCROMOCITOMA E PARAGANGLIOMA

O diagnóstico não é fácil: os sinais e sintomas de hipersecreção de catecolaminas pode simular mais de 30 doenças diferentes e confundir muitos médicos. Como exemplos, podemos citar crises de ansiedade e pânico que são muito comuns na população e compartilham de sintomas semelhantes ao feocromocitoma.

Na endocrinologia, é quase uma regra que o diagnóstico laboratorial deva vir antes da imagem, mas podemos ter a inversão dessa ordem nos casos de incidentalomas adrenais ou presença de mutação ou síndromes genéticas em que cursam com feocromocitomas no seu quadro clínico.

O diagnóstico de feocromocitoma ou paraganglioma requer ambos: a prova do excesso de liberação de catecolaminas mais a documentação anatômica do tumor por exames de imagem.

Diagnóstico laboratorial: o aumento das substâncias resultantes da degradação (metabólitos) das catecolaminas no sangue, a metanefrina e normetanefrina (denominadas em conjunto de metanefrinas séricas) detecta 97% dos casos quando positivas e estão negativas em 93% dos pacientes sem a doença, ou seja, tem respectivamente boa sensibilidade e especificidade.

Testes confirmatórios podem ser solicitados.

A dosagem das próprias catecolaminas (adrenalina, noradrenalina e dopamina) não tem boa sensibilidade, a não ser que os seus níveis estejam mais de duas vezes o valor superior de referência do método. Elevações modestas de metanefrinas e catecolaminas no sangue e na urina são comuns em pessoas sem feocromocitoma. Medicações psicotrópicas utilizadas para transtornos psiquiátricos podem também elevar a dosagem dessas substâncias, sendo aconselhável a suspensão dessas medicações por duas semanas antes de realizar testes laboratoriais. Outras medicações comuns podem interferir nós níveis de catecolaminas.

Documentação anatômica: três cenários devem ser considerados:

  1. Sintomas e sinais típicos (hipertensão, cefaleia, palpitação, sudorese etc) combinados com aumento dos níveis de metanefrinas ou catecolaminas: realizar tomografia com contraste ou ressonância magnética;
  2. Incidentaloma adrenal ou de massa retroperitoneal: se o exame que detectou incidentalmente a massa adrenal é uma tomografia sem contraste e tem um atenuação dos feixes de RX da massa de 10 unidades Hounsfiel (UH) ou menos, descarta-se feocromocitoma e não é necessário fazer os testes bioquímicos. Essa medida é geralmente fornecida no laudo do exame. Se a massa tiver > 10UH, complementar investigação;
  3. Mutação genética ou síndrome associada: vai depender da mutação ou síndrome diagnosticada.

Existem achados radiológicos nos casos suspeitos na tomografia e ressonância e que ainda podem ser complementados com exames de cintilografia documentar com mais segurança a localização anatômica desses tumores. Esse tópico poderá ser detalhado em publicações futuras.

Análise genética – todos os pacientes diagnosticados com feocromocitoma ou paraganglioma devem ser submetidos à análise molecular. Quando alguma mutação de interesse é detectada, a vigilância ativa para aparecimento de outros problemas relacionados à síndrome em questão deve ser iniciada, juntamente com programas de aconselhamento a depender de cada caso. Na prática, as síndromes genéticas comumente são acompanhadas por equipe multidisciplinares em centros médicos especializadas. Essas síndromes são complexas e poderiam ser capítulos inteiros à parte.

TRATAMENTO DO FEOCROMOCITOMA E PARAGANGLIOMA

A retirada cirúrgica é o tratamento de escolha para o feocromocitoma e/ou paraganglioma Para tal afirmação não há controvérsia. O que existe é alguma discordância na literatura é quanto ao tempo oportuno, preparo pré-operatório e a técnica cirúrgica para retirada do tumor. Técnicas cirúrgicas minimamente invasivas por via endoscópica têm sido realizadas. O sucesso do tratamento cirúrgico também depende em grande parte da experiência do cirurgião.

CONCLUSÃO

Mais de um século se passou desde a descrição do primeiro caso de feocromocitoma. O avanço de técnicas diagnósticas nos casos suspeitos, a frequente descoberta de massas incidentais em exames de rotina e o desenvolvimento de técnicas de mapeamento genético mudaram a abordagem e o entendimento dessa doença no decorrer de todo esse tempo. A regra dos 10% não parece valer mais, pelo menos para a representação das síndromes genéticas. Para o tratamento, novas técnicas foram desenvolvidas. Devemos estar atentos à constante evolução no manejo desse tumor que eu diria ser, no mínimo, enigmático.

Referência

NEUMANN, H. P. H.; YOUNG, W. F.; ENG, C. Pheochromocytoma and Paraganglioma. N Engl J Med, v. 381, n. 6, p. 552-565, 08 2019. ISSN 1533-4406. Disponível em: < https://www.ncbi.nlm.nih.gov/pubmed/31390501 >.

PS – para mais referências, siga os links!

Se você gostou da leitura, não deixe curtir e de compartilhar o conteúdo.

Para receber em primeira mão as publicações, você pode se increver no blog ou me acompanhar pelas redes sociais. Os links estão no rodapé dessa página.

Espero ver você mais vezes por aqui!

Um forte abraço,

Suzana

Hipoglicemia em pessoas sem diabetes

Atenção: esse texto aborda a hipoglicemia em pessoas sem diabetes. Se você está à procura de informações de hipoglicemia sem sintomas em pessoas com diabetes, veja o post: hipoglicemia sem sintomas no diabetes

O que é hipoglicemia e como é feito o diagnóstico?

Já pensou um carro sem combustível? Ele pifa, não é? Mesmo assim acontece com o nosso organismo sem glicose. Por isso, que há vários sinais de alerta para que se tome uma providência para que a pessoa se alimente rapidamente e evite um “apagão”.

A hipoglicemia é uma situação em que há queda nos níveis de glicose no sangue a patamares baixíssimos. Não é uma doença por si só, mas um sintoma de algum problema que está por trás.

Apesar de ser um problema raro, é muito comum na nossa prática que um paciente chegue com queixa de mal-estar associado outros sintomas como tontura, tremores e ansiedade e que seja logo rotulado (ou se rotule) como tendo hipoglicemia. Mas, para que esse diagnóstico seja feito, são necessários alguns critérios.

Para confirmar o diagnóstico de hipoglicemia clinicamente significativa, é necessário observar preencher três requisitos, conhecidos como Tríade de Whipple:

  1. Que a glicemia esteja baixa, abaixo de 55mg/dL. A glicemia aqui é a do sangue da veia (glicemia plasmática);
  2. Que haja sintomas e sinais de hipoglicemia, tais como: fome, tremores, ansiedade, tontura, sudorese, irritabilidade, confusão mental ou nervosismo, fraqueza. Em casos graves, convulsão e desmaios;
  3. Que esses sintomas e sinais desapareçam após a resolução da hipoglicemia.

A glicose, como já falamos, é o principal combustível do organismo e a insulina tem como seu papel principal o de facilitar a entrada da glicose dentro das células, por isso os sintomas podem afetar diversos órgãos.

Em pessoas com diabetes, a hipoglicemia ocorre quando há um excesso de insulina injetada ou da ingestão indevida ou exagerada de medicamentos que estimulam a liberação de insulina pelo próprio pâncreas do paciente (secretagogos de insulina).

Avaliação inicial da hipoglicemia

Para a avaliação inicial de hipoglicemia, confirmada ou suspeita, observamos se a pessoa está doente ou se aparenta estar saudável. Dessa forma, podemos considerar as seguintes causas, dependendo de cada contexto:

Indivíduo doente ou medicado

Uso de medicações ou drogas

  • insulina ou secretagogos de insulina
  • álcool;
  • outros.

Doenças graves

  • insuficiência hepática, renal ou cardíaca;
  • infecções graves;
  • desnutrição.

Deficiência hormonal

  • cortisol;
  • glucagon e adrenalina (em pacientes com diabetes insulinodependentes);
  • tumores que não são da ilhota pancreática.

A glicose é absorvida através do intestino, é resultado da quebra do glicogênio (glicogenólise) ou ainda da transformação de outros componentes como proteínas e gorduras (gliconeogênese).  O rim e o fígado armazenam glicose em forma de glicogênio, e quando há falência desses órgãos, ficamos sem reservas dessa fonte de energia. O álcool também impede a quebra do glicogênio hepático.

A deficiência de cortisol é comentada em um capítulo separado, bem como a hipoglicemia assintomática, que é uma deficiência da resposta normal da liberação de adrenalina diante de uma hipoglicemia.

Indivíduo aparentemente saudável

Hiperisulinemia endógena (produzida pelo próprio pâncreas)

  • Insulinoma – tumor pancreático produtor de insulina;
  • Desordens funcionais da célula beta (nesidioblastose);
    • hipoglicemia pacreatogênica não-insulinoma;
    • pós cirurgia bariátrica (por by pass gástrico ou Y de Roux e menos frequentemente por Sleeve ou gastrectomia vertical);
  • Hipoglicemia autoimune;
    • anticorpos contra insulina (eles se ligam a insulina causando aumento da glicose e causam hipoglicemia quando eles se desligam dela);
    • anticorpos contra receptor de insulina (enganam a célula como se fossem a própria insulina)
  • Acidental, furtivo ou malicioso. Nos dois últimos casos, o paciente provoca a própria hipoglicemia de maneira arquitetada. Esse diagnóstico é bastante difícil e complicado, já que a pessoa que faz isso não deve estar com a cabeça muito boa.

Tipos de hipoglicemia em pessoas sem diabetes

A hipoglicemia é bem mais comum em pessoas com diabetes, mas pode acontecer também em pessoas que não têm diabetes. Essa última condição era mais rara, mas vem sendo observada cada vez mais frequência devido ao aumento vertiginoso do número de pessoas que fizeram à cirurgia bariátrica.

Para começar a investigação da hipoglicemia, vamos tomando caminhos por algumas bifurcações. A primeira, é o que falamos se o indivíduo é aparentemente saudável ou não. A segunda, é se a hipoglicemia acontece antes ou depois de uma refeição. Pensando nesse ponto, há basicamente dois tipos de hipoglicemia em pessoas sem diabetes:

  1. Hipoglicemia pós-prandial: acontece até quatro horas após uma alimentação;
  2. Hipoglicemia de jejum – que pode estar relacionada a uma doença.

É possível que os sintomas de hipoglicemia estejam presentes na ausência de níveis baixos de glicose, mas se não houver confirmação de glicemia baixa, o diagnóstico de hipoglicemia não pode ser dado. É um caso de “parece, mas não é”.

Possívies causas da hipoglicemia em pessoas sem diabetes

Já detectamos que a hipoglicemia é preferencialmente antes ou depois da refeição. Agora, pensamos nas causas e fatores de risco associados a cada tipo de hipoglicemia.

Hipoglicemia pós-refeição

Também conhecida por hipoglicemia reativa) pode ser causada por:

  • Pré-diabetes ou ter fatores de risco para diabetes – podem levar a exagero na quantidades de liberação de insulina liberada pelo pâncreas. Esse pico de insulina acontece de forma não sincronizadas com o aumento da glicemia após a refeição. A glicemia sobre primeiro e quando ela está descendo, a insulina está aumentando no sangue. Chega uma hora que tem muita insulina para pouca glicose e você já deve concluir o que acontece.  

A existência dessa condição é controversa na literatura, pois raramente se observam baixos níveis de glicose durante a manifestação dos sintomas desconfortáveis sugestivos de hipoglicemia. Para esses casos, há descrita a síndrome pós-prandial, que diz respeito à presença dos sintomas do sistema nervoso simpático (ansiedade, fraqueza, tremor, sudorese ou palpitação) após o teste de tolerância à glicose oral (TTGO) – o mesmo teste que é utilizado para o diagnóstico de diabetes. Essa doença foi desacreditada na literatura, pois evidências científicas não correlacionaram os sintomas descritos pelos pacientes às quedas de glicose e consequente aumento de hormônios como adrenalina e cortisol;

  • Cirurgia no estômago – nesse caso, nós temos a seguinte situação: o estômago está pequeno e isso que faz com que a comida passe rapidamente para o intestino delgado. Essa passagem rápida faz com que sejam secretados hormônios que liberam a insulina a insulina antes da absorção da glicose do alimento. Mais uma vez, há um descompasso.

Como exemplos mais corriqueiros, temos a cirurgia bariátrica com desvio do trânsito alimentar (by pass gátrico) ou sem sleeve (gastrectomia vertical). Na prática, observamos também que só a redução do estômago, sem desvio do trânsito intestinal também causa hipoglicemia.

  • Deficiências raras de enzimas que metabolizam os nutrientes dos alimentos.
  • Insulinoma, que mais comumente causa hipoglicemia em jejum, mas pode causar também no período pós-prandial.

Hipoglicemia de jejum

Na hipoglicemia de jejum, não pensamos em um descompasso entre liberação de insulina e glicemia na refeição, mas sim em problemas na geração, distribuição da glicose dentro do organismo ou da secreção independente (autônoma) de insulina pelo pâncreas.

Pode ser causada por:

  • Medicamentos, tais como salicilatos (contidos em analgésicos), medicamentos contendo sulfas (alguns antibióticos), pentamidina (para tratamento de um tipo de pneumonia), quinidina (para tratamento malária);
  • Consumo de álcool em excesso;
  • Graves doenças do rim, fígado, coração;
  • Baixos níveis de hormônios, tais como cortisol, hormônio do crescimento, glucagon ou adrenalina;
  • Tumores, tais como um tumor em pâncreas que produza muita insulina ou um tumor que produza um hormônio semelhante à insulina, chamado IGF1.

Como diferenciar os tipos de hipoglicemia?

Para saber de que tipo de hipoglicemia se trata cada caso, o médico avalia primeiro se a história clínica é sugestiva de hipoglicemia e os fatores que melhoram e os que pioram os sintomas. Há toda uma sequência de raciocínio clínico.
O valor da glicemia plasmática é fundamental, como falamos no começo. Portanto, testes laboratoriais são sempre solicitados.

O teste a ser realizado para a confirmação da hipoglicemia depende se os sintomas sugestivos de hipoglicemia tenham sido após a refeição (hipoglicemia reativa) ou no jejum.

Teste para o diagnóstico de hipoglicemia reativa (pós-prandial)

Hipoglicemia pós prandial: um teste chamado de teste da refeição mista, que contém carboidratos, proteínas e gorduras deverá ser realizado na suspeita da hipoglicemia reativa; é uma alimentação que simula uma refeição normal e por isso ela é a mais recomendada.

Sinais e sintomas ou ambosGlicose (mg/dL)Insulina (μU/ml)Peptídeo C (ng/mL)Pró insulina (pmol/L)β-hidroxibutirato (mmol/L) (cetonemia)Aumento da glicose pós glucagon (mg/dL)hipoglicemiantes orais circulantesAnticorpo anti-insulinaInterpretação diagnóstica
Não<55<3<0,6<5>2,7<25NãoNegativoNormal
Sim<55≫3<0,6<5≤2,7>25NãoNeg (Pos)Insulina exógena
Sim<55≥3≥0,6≥5≤2,7>25NãoNegativoInsulinoma, NIPHS, pós-cirurgia bariátrica
Sim<55≥3≥0,6≥5≤2,7>25SimNegativoHipoglicemiantes orais
Sim<55≫3≫0,6≫5≤2,7>25NãoPositivoAutoimune
Sim<55<3<0,6<5≤2,7>25NãoNegativoIGF
Sim<55<3<0,6<5>2,7<25NãoNegativoNão dependente de insulina (ou IGF)
Teste da refeição mista
NIPHS – Hipoglicemia hiperinsulinêmica pancreatogênica não insulinoma

Muitos médicos solicitam a curva glicêmica com a ingestão de glicose com dosagem da glicemia de hora em hora. Importante frisar que  o teste de curva glicêmica prolongada NÃO é recomendado para investigação desse tipo de hipoglicemia.

E por que esse procedimento não é recomendado? Se você já fez uma curva glicêmica com 75g de glicose, viu que a quantidade de açúcar é tão grande que chega a dar náuseas. Essa quantidade de açúcar não é consumida na “vida real” e provavelmente libera quantidades exageradas de insulina, que provocam a hipoglicemia mais para o final do teste da curva glicêmica.

Teste para o diagnóstico de hipoglicemia de jejum

Depois de passado o tempo que chamamos pós-prandial (mais de 5h), pensamos que pode ser uma hipoglicemia de jejum.

Para hipoglicemia de jejum – a medida da glicose deve ser realizada durante jejum, que é classicamente 8h. A maioria dos pacientes que tem algum problema de produção independente de insulina tem uma hipoglicemia nas primeiras 12h de jejum, mas a hipoglicemia pode ser mais tardia, por isso, o teste pode durar até 72 horas. Algumas vezes, é necessário até internar o paciente para flagrar essa hipoglicemia e agir rapidamente para corrigí-la. O jejum não é absoluto, durante o teste, é permitido o consumo de bebidas sem calorias. Ufa!

Em ambos os testes, além da glicemia e da insulina, outras substâncias podem ser dosadas no sangue para auxiliar na investigação da causa da hipoglicemia, como o peptídeo C. Esse fragmento está elevado quando há aumento da secreção de insulina pelo pâncreas.

O peptídeo C é o fragmento resultante da quebra da pro-insulina. A insulina administrada por via subcutânea não contém o peptídeo C e por isso a dosagem do peptídeo C reflete a insulina produzida apenas pelo pâncreas. É útil nos casos em que se desconfia que o paciente esteja sob efeito de uma injeção de insulia ou se tomou algum comprimido para diabetes da classe das sulfonilureias. Há também um teste para detectar vestígios dessa medicação no sangue.

Para saber mais sobre a dosagem de insulina e peptídeo C, confira o post relacionado.

O peptídeo C é o fragmento resultante da quebra da pro-insulina. A insulina subcutânea não contém o peptídeo C e por isso a dosagem do peptídeo C reflete a insulina produzida pelo pâncreas.

Na prática, o uso de aparelhos para medição de glicemia capilar (aqueles testes que as pessoas com diabetes fazem pelo sangue da picada da ponta dos dedos) podem ser utilizados para levantar mais pistas sobre hipoglicemia, mas a confirmação do diagnóstico e investigação da causa são feitos apenas pelos testes de laboratório durante uma hipoglicemia, seja ela de jejum ou pós-refeição.

Como é o tratamento das hipoglicemias?

O tratamento vai depender da causa da hipoglicemia. Por exemplo, se for um tumor produtor de insulina, o tratamento é cirúrgico. Se a causa for por medicamentos, deve-se considerar a troca ou suspensão dos remédios.

Medicações como acarbose, análogos de somatostatina, diazóxido e liraglutida (análogo do GLP1) podem ser consideradas para o tratamento da hipoglicemia pós-prandial. Tem um artigo completo sobre o uso dessas medicações nos pacientes após cirurgia bariátrica, cujo link está nas referências.

Durante a crise de hipoglicemia, o tratamento imediato deve ser feito da mesma forma, independente de qual seja a causa. Se a pessoa estiver acordada, deve ingerir 15 gramas de carboidrato na forma de sucos, glicose pura ou doces.

Algumas dicas para evitar a hipoglicemia pós-prandial

A hipoglicemia pós-refeição está relacionada a um descompasso, um desencontro entre a subida da glicose no sangue e o pico exagerado e tardio da insulina estimulada por esse pico de glicose. Dito isso, a gente orienta que não se coma doces para evitar aquele pico gigante da insulina que vai derrubar a glicose depois.

Em linhas gerais, orientamos:

  • Fracionamento da dieta em pequenas porções a cada duas ou três horas;
  • Variar alimentos, incluindo proteínas e alimentos ricos em fibras;
  • Limitar a quantidade de alimentos doces de alto índice glicêmico para evitar a hipoglicemia reativa.

Uma lembrança importante: as recomendações dietéticas devem ser sempre discutidas com o seu médico e o seu nutricionista.

Considerações finais

Em resumo, a hipoglicemia acontece de forma mais em pessoas sem diabetes, mas hoje nem tanto por conta do aumento das pessoas que fizeram cirurgia bariátrica.

O diagnóstico da hipoglicemia depende da confirmação de níveis baixos de glicose no sangue através de testes apropriados, e o tratamento vai depender da causa da hipoglicemia. Não é tão simples dar esse diagnóstico na prática e a curva glicêmica que usamos para o diagnóstico de diabetes não deve ser utilizada.

Se você está em dúvida se tem ou não tem hipoglicemia, consulte o seu médico de confiança ou procure um endocrinologista para a confirmação do diagnóstico.

Por último, te convido para ver os posts relacionados a esse assunto.

Posts relacionados

Referências

  1. http://www.diabetes.org.br/para-o-publico/hipoglicemia
  2. http://www.fleury.com.br/medicos/educacao-medica/revista-medica/materias/Pages/endocrinologia-nova-prova-funcional-ajuda-a-estudar-o-metabolismo-da-glicose.aspx
  3. CRYER, P. E.  et al. Evaluation and management of adult hypoglycemic disorders: an Endocrine Society Clinical Practice Guideline. J Clin Endocrinol Metab, v. 94, n. 3, p. 709-28, Mar 2009. ISSN 1945-7197.
  4. http://cursoenarm.net/UPTODATE/contents/mobipreview.htm?3/11/3263/abstract/11
  5. http://www.hormone.org/questions-and-answers/2013/nondiabetic-hypoglycemi
  6. Carpentieri GB, Gonçalves SEAB, Mourad WM, Pinto LGC, Zanella MT. Hypoglycemia post bariatric surgery: drugs with different mechanisms of action to treat a unique disorder. Arch. Endocrinol. Metab. 2023;67(3):442-9.

Posts relacionados

Teste da refeição mista para hipoglicemia reativa
Tratamento da hipoglicemia

Obrigada por ter chegado até aqui!

Se você gostou da leitura, não deixe curtir e de compartilhar o conteúdo.

Para receber em primeira mão as publicações, você pode se inscrever no blog ou me acompanhar pelas redes sociais. Os links estão no rodapé dessa página.

Espero ver você mais vezes!

Um forte abraço,

Suzana

O botão de doação abaixo é uma forma voluntária de contribuir para manutenção e aprimoramento do trabalho desse blog.